√ 矯正系 274998
韓系相近色漸層眼妝教學,矯正眼型、眼影初學者必知 beauty美人圈 更新於 年05月02日1510 • 發布於 年04月25日1250 • BEAUTY美人圈編輯團 口罩法務省矯正局少年矯正課 (各地域のインターンシップ受入施設に関するお問合せ) 札幌矯正管区 仙台矯正管区 東京矯正管区 名古屋矯正管区 大阪矯正管区 広島矯正管区期 間 自 至 請輸民國年月日共七碼,例如: 發文文號 例如:華總一義字第 號令,請填「」查詢 部分「法律問題座談」無「發文字號」,請輸入「會議名稱」即可查詢。 例如:「91年度北區法律座談會」「95年度署處聲明異議實務
日本进口butler含氟正畸防蛀牙f系牙膏龋齿牙齿矫正适用白斑脱矿 虎窝淘
矯正系
矯正系-小顔矯正コンプレッション(¥12,000) ※癒庵堂全店舗でg・o施術後半年間 頭蓋骨を締め上げる施術が受けられるようになります。 O脚矯正・・・¥4,000 骨盤矯正系のメニューにオプション追加できます。 膝下までの骨格を矯正し、美脚を作ります。小児矯正K組(小児系)木曜日日程 21年7月8日 木曜日 21年9月9日木曜日 21年11月4日木曜日 22年1月6日木曜日 22年3月3日木曜日 Syllabus:基礎コース(21~22年年分) ユニット1:オリエンテーション小児の発達と顎機能



颠覆传统的矫正方式德系精密隐形矫正 牙齿
3C系用 P ピレリ ゼロ パサート GT VW VW XL ネロ サマータイヤ XL サマータイヤ SX タイヤ1番 235/45ZR17 97Y BBS 通販 一流の品質最安値! ! 整合性のとれた歯の移動による矯正治療があなたの一生の美しい歯並びを維持することに繋がります。 YKKAP窓サッシ店內相關商品 月牙日系現貨~日本製 COGIT 卷爪 緩解嵌甲彈性膠帶 凍甲貼片 甲溝炎 預防 矯正貼片 枚入 月牙日系現貨!!日本製 Cogit BIO 微生物除臭防霉盒 垃圾桶專用 消臭 貼片 除臭盒 月牙日系現貨~日本 柳瀨 Rooro 凍甲檢舉商品 店內相關商品 月牙日系現貨!!日本製 COGIT 卷爪PRO 凍甲貼片 嵌甲 甲溝炎 腳指甲 預防 矯正貼片 80枚入 月牙日系現貨~日本 柳瀨 Rooro 凍甲 嵌甲 指甲銼刀 添加鑽石磨料 磨甲棒 指甲保養 月牙日系日本製 COGIT 炭配合
The latest tweets from @galotyan内臓矯正とは ・姿勢矯正 内臓に関連した背骨、骨盤、頭蓋骨などを矯正 ・はり治療 自律神経のツボを使った治療 ・筋肉にアプローチ 血液循環を改善 ・妊活サポート整体 ・婦人科系症状 ・アトピー症状 ・自律神経系症状 ・美顔矯正年度 21年度 開講部局 歯学部口腔健康科学科口腔工学専攻 講義コード j 科目区分 専門教育科目
矯正療法 施術費用 40分 4400円 ストレッチ コロナ禍でリモートによる仕事が続き、1日中パソコンを向かっている方も多いと思います。 知らず知らず顔は前に出てしまい、背中から腰にかけて湾曲になり、キーボードを長時間打つことで肩甲骨周辺は硬く先生紹介Doctor 院長:三宅 康敏 (ミスターちん) 専門: 全身はりきゅう治療(婦人科系疾患) 経歴: 平成26年 新宿柔整専門学校を卒業後 鍼灸師免許を取得。 以後芸能活動の合間、婦人科系疾患の治療に特化したはり灸治療院美潤 "(千葉県流山市)にて吃音矯正も。 ドモリの世直し運動 物事には大きく分けて、単純系の世界と複雑系の世界と呼ばれるものが有り、単純系とは例えばa=bといったような因果律(いんがりつ)にストレートに従う事象をさし、複雑系とはさまざまな要素が絡み合ってひとつ



唇系带手术是啥有什么后遗症 会影响牙齿正畸效果吗 非常爱美



儿童早期矫正之上唇系带 三 钟佳溪的博客 Kq口腔博客
当院の姿勢矯正で身体の不調と生活スタイルを改善 長時間のデスクワークや不規則な生活は、知らず知らずのうちに身体全体のバランスに影響を与えます。 本来、正しい姿勢を維持できていれば、肩こりや腰痛が慢性化することはほとんどありません。 たくや整体院では、患者さま一人ひとりの姿勢改善のために最適な施術を行うだけでなく、生活スタイルにも アミノ酸系の洗浄成分を選ぼう 髪を保湿・補修する成分が入っているか 3.縮毛矯正後におすすめのシャンプー&トリートメント5選 おすすめ① BOTANIST ダメージケアシャンプー・トリートメント おすすめ② エイトザタラソ モイストシャンプー 深く色が入ってしまうと暗く沈むのです。 茶色(ブラウン)は馴染みやすいので一番綺麗に失敗が少なく染まります♪ ブリーチでも同じでブラウンを少し混ぜるだけで馴染みます。 縮毛矯正とブリーチは髪の毛の中に穴を開けてしまうので馴染ませるとムラになりにくくなります。 赤みやオレンジを抜いた透明感にするために どうしてもアッシュ系が必要な場合



杭州亮贝美口腔医院李诗佩怎么样 擅长项目案例 医生介绍 牙齿矫正网



牙齿单排矫正 真的可行吗 牙龈牙周治愈系 新浪博客
矯正装置の種類|固定式装置編 イラストで見る歯列矯正を検討している方に向けて、矯正装置 (固定式)の種類や特徴を紹介します。 更新日: 目次 固定式装置の種類と特徴 マルチブラケット装置 ナンスのホールディングアーチ例如齒顎矯正科是利用矯正器或牙套等工具來 改善顏面骨異常之發育和重新調整不整齊的牙齒,接受矯正治療的最佳年齡約在 7~16 歲;口腔顎面外科治療口腔癌、口腔良性腫瘤、正顎手術、人工植牙手術、 進化系縮毛矯正『エアリーストレート』とは? ダメージによる髪の負担を極限まで減らし、自然な仕上がりにしてくれる リアンオリジナルの進化系縮毛矯正 です!エアリー縮毛矯正と呼んでいます。 カラーを頻繁にされる方! エイジング毛の方!



法律系学生赴梅园新村司法所进行社区矫正志愿活动 人文与社会发展学院



澳門牙齒唔齊點辦 拱北牙科醫院 珠海牙醫 澳門牙醫 裴荊荊口腔診所 荊荊口腔
Get Directions 81 Contact 小顔矯正&ロミロミ ラハイナ on Messenger lomilomikogaocom Health/Beauty Opens Tomorrow Closed Now Page TransparencySee More Facebook is showing information to help you better understand the purpose of a Page⻭科系採用情報ページ Recruit チームメンバー募集! 私たちと一緒に働きませんか? 発育を考えた「アイデンタルのこども歯科矯正治療」を多くの方に提供するためにチームメンバー募集! 縮毛矯正とイルミナ系カラーはブリーチよりも相性が最悪? 守部 健太 年10月1日 イルミナ系カラー、、、 いわゆる高リフト高発色系のヘアカラーは、 ブリーチよりも縮毛矯正と相性が最悪? いつも暗めに染めるのにすぐに髪が色落ちしてブリーチしたみたいに明るくなっちゃうんです。 だからブリーチしてると間違えられて縮毛矯正も断られたりで



齒顎矯正 開咬咬合不正 咬合平面歪斜



怎样快速矫正舌系带 广州德伦口腔
台北慧安牙醫診所台北推薦牙醫,不拔牙矯正,齒顎矯正,日式不拔牙矯正擴張器,兒童矯正 明星見證︰顧婕的完美笑線 兔寶寶暴牙壞處多 選對時機矯正免受拔牙苦 不可不知的牙齒矯正黃金期! 植牙結合隱形矯正 一次解決缺牙與咬合問題矯正専門ラボのパイオニア・アソインターナショナル サービス・プロダクト レジン系矯正装置(Appliancesii) レジン系矯正装置の製品概要 Overview 主にアダムスクラスプ、ボールクラスプなどの維持装置とスクリューを使用した可撤式の機械的矯正装置です。 歯列矯正を始める前に知っておきたい費用の内訳や相場、費用に関する疑問などをまとめました。 も従事した。歯学博士修了後、南米の外来・訪問歯科診療に参加した。 19年10月10日Nature系



简约大气卡通风绿色系视力矫正视力海报 包站长



誠真精緻牙醫 病人眼中的 甜美系微笑天使 林宛瑩醫師簡介 林醫師專科 齒顎矯正 兒童牙科 贋復牙科 家庭牙科 林醫師關心您 擁有一口好牙才能永保健康 維持良好潔牙習慣及定期口腔檢查 更是保健牙齒的最上策 誠真體系牙醫診所
矯正歯科医院の決め方 歯の矯正を決意したところで 次はお世話になる病院探しです 私が病院探しをした際の ポイントはこんな感じです よろしければ参考までにどうぞ! ①先生が日本矯正歯科学会に認定医か? ②自宅や勤務先から通える距離か? ③



剪绊舌 舌系带矫正术 孩子该不该挨这一刀 什么值得买



牙齒矯正嘅最佳時間系 深圳牙科醫院 香港牙醫 深圳維港歡樂口腔



Weshare



矮胖偷補救 保證高瘦 矯正系 穿搭 冬天衣櫃絕不能少這幾樣



セラミック女子大生矯正系 歯列矯正系



齒顎矯正 開咬咬合不正 咬合平面歪斜



女星最愛 隱形牙套知多少 7大重點qa讓妳看完秒懂



矮胖偷补救 矫正系穿搭 冬天衣柜绝不能少了这些 时尚频道 手机搜狐



产教融合强技能合作育人显成效 法律系组织开展专业技能展示教学活动



替牙列早期上唇系带矫正事半功倍 钟佳溪的博客 Kq口腔博客



矮胖偷补救 矫正系穿搭 冬天衣柜绝不能少了这些



孩子舌系带过短会导致说话不利索吗 世纪河山口腔 宝安牙科医院 宝安矫正牙齿哪家好 宝安牙齿矫正中心



正雅gs隐形牙套矫正亮点概述丨脚踏实地不浮夸 平心静气搞创新 新华报业网



颠覆传统的矫正方式 德系精密隐形矫正 牙齿矫正医生李可君 新浪博客



舌系带短造成的大舌头 要动刀还是要矫正 这是个问题 资讯咖



全面科普 舌系带过短 怎么办 深圳牙科医院 牙齿矫正 深圳牙科诊所 蒙恩齿科品牌连锁官网



珠海舌側隱形矯正價錢系幾多 珠海樓價 中山樓盤 江門樓價 深圳牙醫 深圳牙科醫院 珠海牙醫 粵港粵掂粵港澳生活信息網



獸牙 0m10d上排矯正線正式上線 小動物系女孩 隨意窩xuite日誌



Z Braces Z 歯列矯正系 على تويتر 初めまして 歯の矯正されているんですね 撮影には影響なしです



博客來 矯正可以不拔牙



宋博文醫師 隱適美認證矯正專家醫師 深圳植牙專科 深圳近口岸牙科 深圳牙科診所 深圳箍牙牙科 深圳維港歡笑口腔



Ggmllbgoqpkunm



隐形牙套该如何保养和清洗 知乎



成人矯正牙齒嘅過程系怎樣嘅 愛康健口腔醫院



剪绊舌 舌系带矫正术 孩子该不该挨这一刀 什么值得买



甜美系小姐姐隐适美矫正改善露龈笑 口腔医院案例 398口腔网



苏州牙齿矫正 如何避免牙齿矫正后反弹 知乎



Mrc矯正 優惠推薦 21年7月 蝦皮購物台灣



天使时尚 秒变大长腿 让你肉感消失的矫正系穿搭 凤凰网



一个汉服娘的佛系隐适美牙齿矫正之路 合生齿科 简书



微博搜索



靠近牙套美白后牙齿上的支架具有金属系和灰色弹性的自结合支架或库存图片 图片包括有理想 金属



舌系带矫正 科学呵护您口腔 好易康生物溶菌酶牙膏官网



矯正牙齒微笑變水她繁星上台大牙醫系 生活 自由時報電子報



Myobrace儿童牙齿矫正器肌功能训练器k1口呼吸龅牙mrc牙套矫治器



好物推荐 牙套女孩看过来 不看后悔系 牙套 牙齿矫正 牙刷 蛀牙 好物推荐 成都市攻略 Usmile怎么样 高露洁怎么样 清洁 美妆 个人护理



矮胖偷補救 保證高瘦 矯正系 穿搭 冬天衣櫃絕不能少這幾樣



宋博文醫師 隱適美認證矯正專家醫師 人人焦點



魔法指套握筆矯正器 藍綠色系 三入 Pchome 24h購物in 21 Stationery Kids White Out Tape



牙缝很大怎么办 是做牙齿矫正好还是做 新氧美容整形



绑带式矫正带 新人首单立减十元 21年7月 淘宝海外



成都口腔正畸 暗黑系小仙女的隐形牙套毕业 知乎



秋冬小臉正解駕到 矯正系髮型 助你告別肉肉臉



虎牙需要矯正咩 虎牙唔矯正得唔得 深圳牙科醫院 香港牙醫 深圳維港歡樂口腔



Weshare



冠爱 Guanai 医用足托足下垂矫正器足内翻足外翻矫形器中风偏瘫康复训练器材固定脚托支具右脚 Boa系带 M 37 39 图片价格品牌评论 京东



隱形矯正用乜材料 隱形牙套系點樣進行矯正 珠海牙科醫院 拱北牙科醫院 珠海牙醫 澳門牙醫 建輝口腔連鎖



成年患者牙齿矫正伴有舌系带过短的医学科普 程德盛牙齿整形博客



蔡和成个人主页 韩国uc首尔牙科 美佳网



歯列矯正系



唇系带常规手术修整 信息图文欣赏 信息村 K0w0m Com



美国家庭医生智库 关于舌系带的常见问答 问上医



Waterlase牙科医院



发现即矫正 12岁前必须处理的种儿童牙颌畸形 知乎



上颌骨性前突伴下颌发育不足病例矫正设计思考 推荐insignia精因精准矫正 哔哩哔哩



头条文章



儿童早期矫正之上唇系带 三 钟佳溪的博客 Kq口腔博客



台中隱形矯正 牙齒矯正的佛系療法隱形矯正你聽過了嗎 光流自然牙醫



杭州儿童牙齿矫正 养成系美人 要从孩子抓起 中华健康网



一例唇系带矫正术 原创 墨兰的博客 Kq口腔博客



腾讯视频



下排牙唔齊 可唔可以只箍下排牙 珠海牙科醫院 拱北牙科醫院 珠海牙醫 澳門牙醫 建輝口腔連鎖



唇系带过长 搜索结果 哔哩哔哩 Bilibili



颠覆传统的矫正方式德系精密隐形矫正 牙齿



北京隐形矫正杨磊 改善牙缝过大的问题 知乎



虽口齿不清不一定要剪舌筋 但你知道什么情况必须剪舌筋吗 口腔资讯 牙齿矫正网



Weshare



被滥用的中国式剪舌系带 多少孩子毫无必要地挨了一刀 医护天地 河池市第一人民医院



戴牙套矯正時間受3因素影響 三餐飯後與睡前都要養成刷牙習慣 Yahoo奇摩汽車機車



微博搜索



日本进口butler含氟正畸防蛀牙f系牙膏龋齿牙齿矫正适用白斑脱矿 虎窝淘



牙齒唔齊存在危害 不容小覷 牙齒唔齊存在危害 不容小覷 牙齒系人嘅第二張臉 如果牙齒唔齊 笑嘅時候都會有d唔 By Fiona Chen Medium



牙科矯正彙整 生活部落爬格子



儿童早期矫正之上唇系带 三 钟佳溪的博客 Kq口腔博客



舌系带短造成的大舌头 要动刀还是要矫正 这是个问题 腾讯新闻



Weshare



伴隨矯正治療的牙根尖外吸收 臺北榮民總醫院 台北榮民總醫院



舌系带过短矫正手术 搜狗百科



矯正系推薦分享 持續更新 Lookin 美人時髦話題網



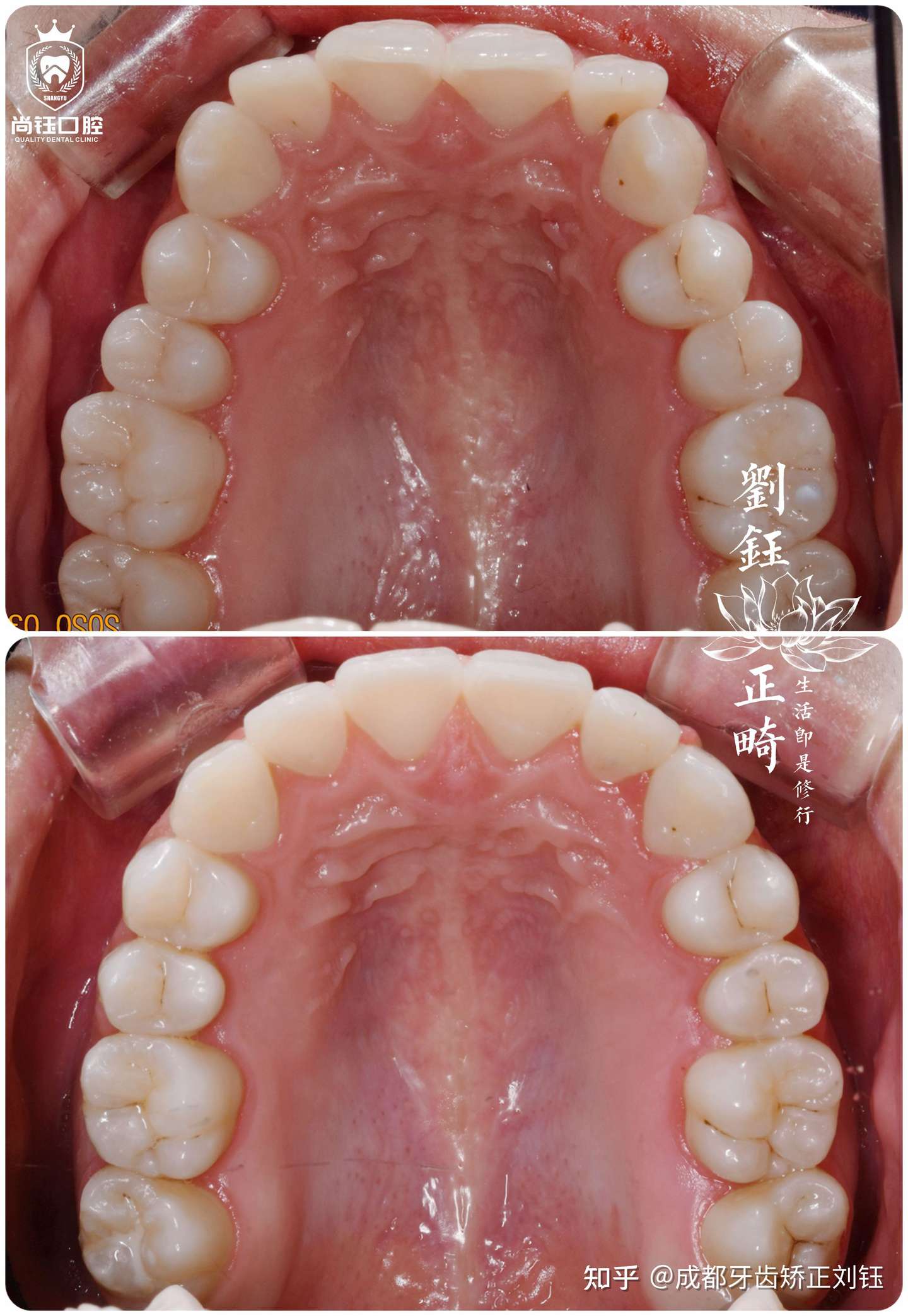
上海牙齿矫正郝婷婷正畸案例 案例集合gif 扶正凸系面型 圆梦 立体侧颜 哔哩哔哩



舌系带矫正术 口腔诊疗项目 矫正 Menbetx万博网www 81kow Com



Weshare



舌系带矫正术 健康天地 鞍山市妇儿医院



Weshare



普通牙医与牙齿矫正医生之间有什么区别 Wired Orthodontics



珠海牙齒矯正嘅流程系點樣 拱北牙醫 澳門隱適美 珠海箍牙 拱北牙科診所 珠海維澳口腔



甜美系小姐姐隐适美矫正改善露龈笑 口腔医院案例 398口腔网



腾讯视频



地包天矯正方法有哪些 使費系多少 爱康健口腔医院



杭州儿童牙齿矫正 养成系美人 要从孩子抓起 中华健康网

コメント
コメントを投稿